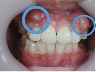
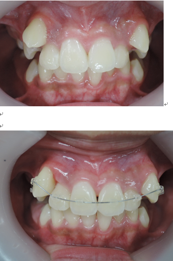
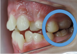
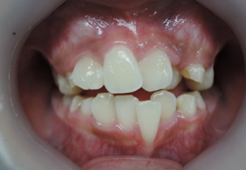
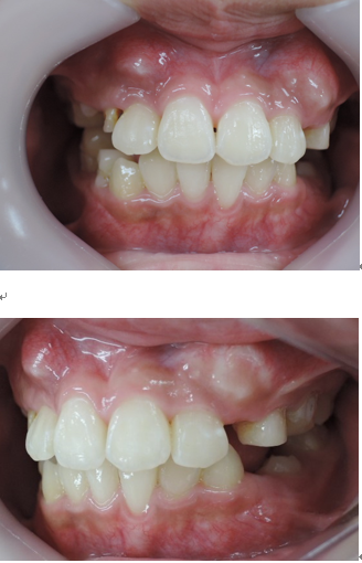
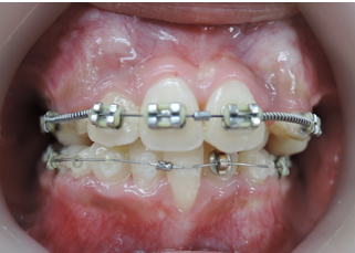
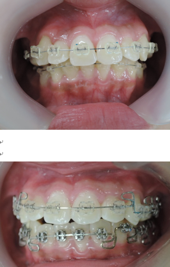
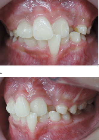
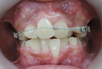
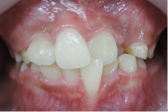
よく診る、難しい症例(奥歯の隙間)

医療法人社団クオリタス いずみ歯科矯正歯科医院

047-395-8241
無料矯正相談
お問合せ

診療時間 9:00-12:00 / 14:30-19:00  休診日 水曜・日曜・祝日

当院公式LINEをスタートしました

MENU
いずみ歯科矯正歯科医院
医療法人社団クオリタス
いずみ歯科矯正歯科医院
  • トップ
  • インビザライン
    • インビザライン
    • インビザラインfirst
    • インビザライン治療の流れ
    • Q&A・注意事項・装置の取り外し方法
    • 医院の特徴・強み
    • インビザラインへの転換理由
    • 症例集
  • 小児(早期)矯正
    • 子供の矯正(早期矯正治療)
    • 子供の矯正の流れ(典型的一例)
    • 症例①:歯並びが悪い
    • 症例②:こどもの反対咬合(受け口/下顎前突)
    • 症例③:こどもの出っ歯(噛み合わせが低い)
    • 症例④:こどもの開咬
    • 症例⑤:顎偏位(顎が曲がっている)
    • 症例⑥
    • 症例⑦
  • 成人矯正
    • 成人矯正
    • 成人矯正の流れ(典型的一例)
    • MEAW(マルチループ)とは
    • 非外科矯正
    • 症例①:歯並びが悪い例
    • 症例②:大人の受け口(反対咬合/下顎前突)
    • 症例③:出っ歯(上顎前突)
    • 症例④:開咬
    • 症例⑤:顎変位
    • 症例⑥:非外科矯正(骨切りと言われたら)
  • 子供~大人 症例
    • 子供から大人へと連続した治療例
    • 症例①:子供の出っ歯(上顎前突)
    • 症例②:子供の歯並びが悪く上下顎の成長に差異が見られる
    • 症例③:こどもの歯並びが悪い症例
  • 初めての方へ
    • 初めての方へ
    • カウンセリング~治療開始まで
    • メールでご予約/初診無料相談
    • LINEでご予約
    • WEB問診票
  • 料金
    • 料金表
    • 医療費控除
  • ドクター
    • 院長あいさつ
    • 当院のモットー
    • 安心のポイント
    • 他の先生からの推薦コメント
    • 院内の様子
    • アクセス・地図
    • 駐車場案内
    • 診療カレンダー
    • 院長ブログ
  • Q&A
    • よくある質問
    • 治療中の皆様へ
    • ├ゴムの装着について
    • ├親知らずの抜歯について
    • ├ワイヤーやブラケットが外れた時
    • └保定装置について
    • インビザラインで治療中の皆様へ
    • ├開始時の注意事項
    • ├アタッチメントが外れた場合
    • ├マウスピースの取り外し方
    • └マウスピースの洗い方

非抜歯矯正治療

  • TOPページ
  • 非抜歯矯正治療
  • 2020.12.14
    院長ブログ

    よく診る、難しい症例(奥歯の隙間)

  • 2019.04.23
    歯列不正

    歯を抜かないと治療出来ないと言われた方に。(歯並びが悪い)

  • 2018.11.27
    非抜歯矯正治療

    子供から大人まで非抜歯での連続矯正治療・八重歯・出っ歯(上顎前突)

  • 2018.11.16
    非抜歯矯正治療

    子供から大人まで非抜歯での連続矯正治療・出っ歯(上顎前突)

  • 2018.11.09
    非抜歯矯正治療

    大人の非抜歯での顎偏位の治し方

  • 2018.10.05
    非抜歯矯正治療

    おとなの歯並びの治療法 *通常、上下第1小臼歯を4本抜歯する症例です*

  • 2018.05.31
    非抜歯矯正治療

    抜歯・非抜歯矯正の歴史 3 医療法人社団クオリタス いずみ歯科矯正歯科医院 市川市、船橋市

  • 2018.05.30
    非抜歯矯正治療

    抜歯・非抜歯矯正の歴史 2 医療法人社団クオリタス いずみ歯科矯正歯科医院 市川市、妙典

  • 2018.05.29
    非抜歯矯正治療

    抜歯・非抜歯矯正の歴史 1 医療法人社団クオリタス いずみ歯科矯正歯科医院 市川市、行徳

  • 2018.05.27
    非抜歯矯正治療

    抜歯矯正で第一小臼歯を抜歯する理由 4 医療法人社団クオリタス いずみ歯科矯正歯科医院 市川市、妙典

1 2 3 … 5 NEXT≫

カテゴリー

  • 40歳以上の矯正 (1)
  • インビザライン (4)
  • お知らせ (8)
  • トレーナー (6)
  • 交叉交合 (3)
  • 再治療 (2)
  • 出っ歯 (97)
  • 劣成長 (5)
  • 受け口(反対咬合) (47)
  • 口ポカン(口呼吸) (13)
  • 外科矯正 (10)
  • 子供~大人の矯正治療例_TOP表示用 (3)
  • 小児矯正の治療例_TOP表示用 (5)
  • 成人矯正の治療例_TOP表示用 (6)
  • 指しゃぶり (4)
  • 歯列不正 (13)
  • 歯間離開 (2)
  • 理想的な咬み合わせ (5)
  • 睡眠時無呼吸症候群 (10)
  • 矯正治療に伴う痛み  (11)
  • 空蝉のねごと (66)
  • 親知らず (7)
  • 開咬 (12)
  • 開始時期・早期治療 (72)
  • 院長ブログ (182)
  • 顎偏位 (2)
  • 顎関節 (8)

最近の投稿

  • インビザラインのアライナー管理表とは?当院が患者さまにお渡しする「交換日程予定表」を大公開【徹底サポートシリーズ①・市川・妙典】
  • 🦷学校歯科検診の用紙に『歯列』『咬合』にチェックがあったら——矯正歯科に相談するベストなタイミングとは🦷
  • インビザライン治療、アライナー渡したあとも「ずっと見守ります」——当院のサポート体制を大公開【全4回シリーズ】
  • 休診カレンダー(2026年5月〜7月)更新しました。
  • Align Ortho Prestige 2026に参加|インビザライン矯正の最新情報(市川)

ご予約・お問合せ

お気軽にお問い合わせ・ご相談ください047-395-8241診療時間 9:00-12:00 / 14:30-19:00
日祝 休診

〒272-0114 千葉県市川市塩焼2-2-66

東京メトロ東西線「妙典駅」徒歩5分

東京外環自動車道「市川南インター」約5分

診療時間
ご予約・お問合せ
  • ドクター紹介
  • いずみ院長の矯正ブログ
  • 初診矯正無料相談
  • LINE@
  • インビザライン
  • iTero Element
  • invisalign first
  • ツイッター
  • インスタグラム

インビザライン

  • インビザラインとは
  • インビザラインfirst
  • 治療の流れ

当院の矯正治療

  • 成人矯正
  • 小児矯正
  • 抜かない矯正

無料相談・ご予約

  • メール相談・ご予約
  • LINEでご予約・お問合せ

費用・Q&A

  • 料金体系
  • よくある質問
  • 治療中の皆様へ

クリニック

  • ドクター紹介
  • アクセス
  • 院内紹介
PAGE TOP

医療法人社団クオリタスいずみ歯科矯正歯科医院

© IZUMI DENTAL & ORTHODONTIC CLINIC.

  • 047-395-8241
  • アクセス
  • WEB問診票
  • LINE相談
  • 無料相談