千葉県市川市で
インビザラインなら
当院の特長
-
抜かない矯正治療を可能にするため、マウスピースとワイヤーの難点を互いにカバーし、それぞれの利点を活かす矯正治療をご提案しております。
-
3D光学スキャナー(itero)を活用した術前の簡易シミュレーション。治療後のイメージがより湧きやすくなります。
-
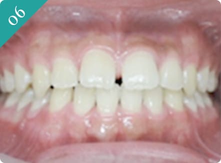
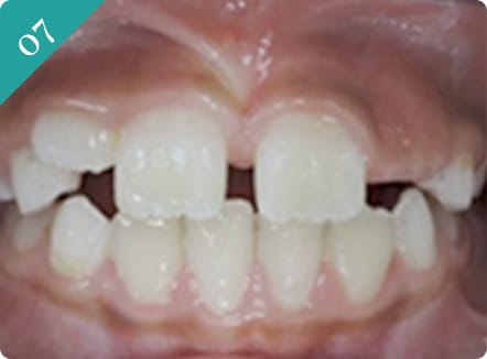
インビザラインとマルチループワイヤーを併用し、数多くの治療を行ってまいりました。患者さんとよく似た症例をお見せしております。
-
ご遠方やお忙しい方、外出を控えたいという方にはご希望であればZOOMにて治療計画、計画書の説明を承っております。是非ご利用ください。
-
治療期間に関わらず金額の変動がない「トータルフィーシステム」を採用、明瞭で安心できる料金プランをご用意しております。
ごあいさつ
平成元年の開業以来30年にわたり咬み合わせの改善による口腔機能の向上を目指して日々研鑽してきました。平成元年の頃は口腔の健康と全身の健康とが関係するなどと言う事は歯科医師でさえも認識していない事柄でした。
ところが、先達のご努力の結果、今では社会的にも口腔と全身の関係について関心が高まり、その事は社会的な共通認識ともなってきました。そのため、去年、今年と「骨太の方針」にも「口腔の健康は全身の健康にもつながることから・・・」との文言が載せられるまでになっています。
この考え方は開業以来の当矯正歯科医院の概念に沿った考え方でもあります。
そしてこの概念を実現するために矯正学だけの知識ではなく総義歯や歯周病などの歯科医学全般の知識、呼吸機能に関係する耳鼻科での知識、ストレス管理に関係する精神科の知識など歯科と耳鼻科、精神科の知識を長年にわたって学習してきました。
これらで得た知識の結晶が当矯正歯科医院の歯並びの美しさと良好な口腔機能を兼ね備えた咬み合わせです。この咬み合わせでよりよい人生をあゆまれる一助となる事が当矯正歯科医院のささやかな幸せとしております。
いずみ歯科矯正歯科医院
インビザライン動画
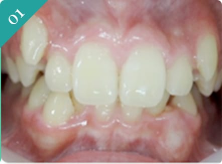
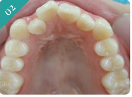
千葉県市川市で「インビザライン」による歯並び・咬み合わせの無料相談を行っています。当院では初回無料相談時に、3D光学スキャナー(itero)でお口の中をスキャンさせていただき、ご説明の際に簡易シミュレーションをお見せしております。現在の歯並びを治療したらどうなるのかをご覧いただける、簡単なシミュレーションです。じっくりご理解いただけるカウンセリングを心がけておりますので、どんなことでもお気軽にお聞きください。




インビザライン矯正



















インビザライン







