-
外科矯正(骨切り)と言われたら 10 医療法人社団クオリタス いずみ歯科矯正歯科医院 市川市、船橋市
☆いずみ歯科矯正歯科医院HP☆ 矯正のお役立ち情報はこちら!
こんにちは(*^^*)
当院のブログをご覧頂き、ありがとうございます!
外科矯正適応の症例の当矯正歯科医院における非抜歯矯正の治療手順を説明しています。
今回で10回目となります。
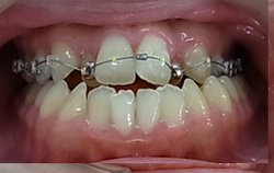
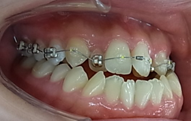
前回までMEAW法(マルチループ)を利用して咬合平面、顎骨の拡大をうながしさらに、顎間ゴムによって下顎骨の近心移動をさせることにより下顎前突(受け口)の改善を行っていきました。
当矯正歯科医院ではMEAW法(マルチループ)の治療の段階を終了した後はストレートワイヤーにより歯列を細部にわたり整えていきます。
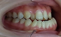
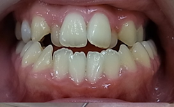
そして、矯正装置を除去して治療を終えていきます。
その後後戻りを予防するために保定装置を使用します。

当院では、矯正の無料相談を行っております(^^)
矯正に興味がある方は、お気軽にお問い合わせください♪
☆☆☆いずみ歯科矯正歯科医院HP☆☆☆ -
外科矯正(骨切り)と言われたら 9 医療法人社団クオリタス いずみ歯科矯正歯科医院 市川市、船橋市
☆いずみ歯科矯正歯科医院HP☆ 矯正のお役立ち情報はこちら!
こんにちは(*^^*)
当院のブログをご覧頂き、ありがとうございます!
外科矯正適応の症例の当矯正歯科医院における非抜歯矯正の治療手順を説明しています。
今回で9回目となります。
前回までMEAW法(マルチループ)を利用して咬合平面、顎骨の拡大をうながしさらに、顎間ゴムによって下顎骨の近心移動をさせることにより下顎前突(受け口)の改善を行っていきました。
当矯正歯科医院ではMEAW法(マルチループ)の治療の段階を終了した後はストレートワイヤーにより歯列を細部にわたり整えていきます。
そして、矯正装置を除去して治療を終えていきます。

↓

当院では、矯正の無料相談を行っております(^^)
矯正に興味がある方は、お気軽にお問い合わせください♪
☆☆☆いずみ歯科矯正歯科医院HP☆☆☆ -
外科矯正(骨切り)と言われたら 8 医療法人社団クオリタス いずみ歯科矯正歯科医院 市川市、行徳
☆いずみ歯科矯正歯科医院HP☆ 矯正のお役立ち情報はこちら!
こんにちは(*^^*)
当院のブログをご覧頂き、ありがとうございます!
外科矯正適応の方の当矯正歯科医院における非抜歯矯正の治療手順を説明しています。
MEAW法(マルチループ)を利用して咬合平面と顎骨の拡大を促します。
さらに、顎間ゴムによって下顎骨を近心移動させることにより、下顎前突(受け口)の改善を行っていきます。
MEAW法(マルチループ)の治療を1年ぐらい続けていくと、前歯の被蓋が出来て下顎前突(受け口)が改善してきます。
その後、MEAW法(マルチループ)をストレートワイヤーに交換して一歯ごとに改善を行っていきます。


当院では、矯正の無料相談を行っております(^^)
矯正に興味がある方は、お気軽にお問い合わせください♪
☆☆☆いずみ歯科矯正歯科医院HP☆☆☆ -
外科矯正(骨切り)と言われたら 7 医療法人社団クオリタス いずみ歯科矯正歯科医院 市川市、行徳
☆いずみ歯科矯正歯科医院HP☆ 矯正のお役立ち情報はこちら!
こんにちは(*^^*)
当院のブログをご覧頂き、ありがとうございます!
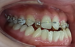
外科矯正適応の方の当矯正歯科医院における非抜歯矯正の治療手順を説明しています。
MEAW法(マルチループ)を利用して咬合平面と顎骨の拡大を促します。
さらに、顎間ゴムによって下顎骨を近心移動させることにより、下顎前突(受け口)の改善を行っていきます。
MEAW法(マルチループ)の治療を1年位続けていくと、前歯の被蓋が出来て下顎前突(受け口)が改善してきます。


当院では、矯正の無料相談を行っております(^^)
矯正に興味がある方は、お気軽にお問い合わせください♪
☆☆☆いずみ歯科矯正歯科医院HP☆☆☆ -
外科矯正(骨切り)と言われたら 6 医療法人社団クオリタス いずみ歯科矯正歯科医院 市川市、浦安市
☆いずみ歯科矯正歯科医院HP☆ 矯正のお役立ち情報はこちら!
こんにちは(*^^*)
当院のブログをご覧頂き、ありがとうございます!
外科矯正適応の方の当矯正歯科医院における非抜歯矯正の治療手順を説明しています。
MEAW法(マルチループ)を利用して咬合平面と顎骨の拡大を促します。
さらに、顎間ゴムによって下顎骨を近心移動させることにより、下顎前突(受け口)の改善を行っていきます。


当院では、矯正の無料相談を行っております(^^)
矯正に興味がある方は、お気軽にお問い合わせください♪
☆☆☆いずみ歯科矯正歯科医院HP☆☆☆ -
外科矯正(骨切り)と言われたら 5 医療法人社団クオリタス いずみ歯科矯正歯科医院 市川市、船橋市
☆いずみ歯科矯正歯科医院HP☆ 矯正のお役立ち情報はこちら!
こんにちは(*^^*)
当院のブログをご覧頂き、ありがとうございます!
外科矯正適応の方の当矯正歯科医院における非抜歯矯正の治療手順を説明しています。
前回までで歯並びは改善しました。
今回からは咬み合わせの改善となります。
咬み合わせは当矯正歯科医院ではMEAW法(マルチループ)を利用して治療を行っています。


当院では、矯正の無料相談を行っております(^^)
矯正に興味がある方は、お気軽にお問い合わせください♪
☆☆☆いずみ歯科矯正歯科医院HP☆☆☆ -
外科矯正(骨切り)と言われたら 4 医療法人社団クオリタス いずみ歯科矯正歯科医院 市川市、妙典
☆いずみ歯科矯正歯科医院HP☆ 矯正のお役立ち情報はこちら!
こんにちは(*^^*)
当院のブログをご覧頂き、ありがとうございます!
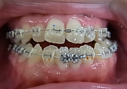
外科矯正適応の方の当矯正歯科医院における非抜歯矯正の治療手順を説明しています。
前回は顎骨の拡大と歯並びの改善を説明しました。
七カ月後、その改善後矯正装置を一般的な矯正装置に取り換えていきます。


次回よりMEAW法(マルチループ)を利用して下顎前突(受け口)を治療していきます。
当院では、矯正の無料相談を行っております(^^)
矯正に興味がある方は、お気軽にお問い合わせください♪
☆☆☆いずみ歯科矯正歯科医院HP☆☆☆ -
外科矯正(骨切り)と言われたら 3 医療法人社団クオリタス いずみ歯科矯正歯科医院 市川市、妙典
☆いずみ歯科矯正歯科医院HP☆ 矯正のお役立ち情報はこちら!
こんにちは(*^^*)
当院のブログをご覧頂き、ありがとうございます!
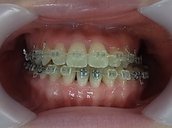
外科矯正適応の方の当矯正歯科医院における非抜歯矯正の治療手順を説明しています。
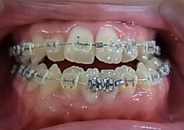
先ずは、写真の様に矯正装置を装着して上顎骨の拡大を始めます。


当矯正歯科医院での非抜歯での治療は顎の骨を切るのではなく、顎骨の拡大を促していきます。
当院では、矯正の無料相談を行っております(^^)
矯正に興味がある方は、お気軽にお問い合わせください♪
☆☆☆いずみ歯科矯正歯科医院HP☆☆☆ -
外科矯正(骨切り)と言われたら 2 医療法人社団クオリタス いずみ歯科矯正歯科医院 市川市、妙典
☆いずみ歯科矯正歯科医院HP☆ 矯正のお役立ち情報はこちら!
こんにちは(*^^*)
当院のブログをご覧頂き、ありがとうございます!
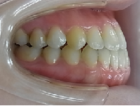
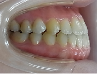
当矯正歯科医院での外科矯正の適応症例に対する非抜歯での治療手順について説明していきたいと思います。
26歳 女性 下顎前突(受け口) 他院で外科矯正の適応と診断された症例


なかなか難しい症例です。
次回より治療手順を説明していきたいと思います。
当院では、矯正の無料相談を行っております(^^)
矯正に興味がある方は、お気軽にお問い合わせください♪
☆☆☆いずみ歯科矯正歯科医院HP☆☆☆ -
外科矯正(骨切り)と言われたら 1 医療法人社団クオリタス いずみ歯科矯正歯科医院 市川市、妙典
☆いずみ歯科矯正歯科医院HP☆ 矯正のお役立ち情報はこちら!
こんにちは(*^^*)
当院のブログをご覧頂き、ありがとうございます!
症例が改善困難で第一小臼歯を抜いても治療出来ない場合は、骨を切って治療していく事があります。
骨を切っての治療は精神的、肉体的負担が大きくやむなく治療を諦めてしまう人がいらっしゃいます。
とう矯正歯科医院では限界は当然ありますが、外科矯正が妥当と言われた症例でもかなり改善することが出来ます。
これから、当矯正歯科医院ではどのような手法で治療を行っているのかを数回に分けて説明していきたいと思います。
当院では、矯正の無料相談を行っております(^^)
矯正に興味がある方は、お気軽にお問い合わせください♪
☆☆☆いずみ歯科矯正歯科医院HP☆☆☆





