-
子供の矯正 ~交叉咬合~ 医療法人社団クオリタス いずみ歯科矯正歯科医院(市川市)
☆いずみ歯科矯正歯科医院HP☆ 矯正のお役立ち情報はこちら!
こんにちは(*^^*)
当院のブログをご覧頂き、ありがとうございます!
上下の前歯が交叉している場合、通常行われている ”歯を横に動かす矯正” で改善することは非常に難しい治療となります。
しかし、当矯正歯科医院では咬み合わせの高さを改善しながら治療を行うためにスムーズに美しい歯並びに改善する事ができます。
また、治療器具も取り外しではないため、保護者の方々の負担も少なくて済みます。
通常の治療方法とは異なる為、時間をかけて治療方法、理論を説明しなければいけません。
詳しい治し方や治療の写真を見たい!
という方は、いずみ歯科矯正歯科医院HPにて沢山の症例をご紹介しております!
ぜひご覧ください。
また、矯正の無料相談も行っております(^^)
矯正に興味がある方は、お気軽にお問い合わせください♪
☆☆☆いずみ歯科矯正歯科医院HP☆☆☆ -
前歯の咬み合わせが一部逆になっているお子様<交叉咬合> 医療法人社団クオリタス いずみ歯科矯正歯科医院 (市川市)
☆いずみ歯科矯正歯科医院HP☆ 矯正のお役立ち情報はこちら!
こんにちは(*^^*)
本日も当院のブログをご覧頂きありがとうございます!
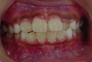
今日は、前歯の咬み合わせが一部分だけ上下が逆になっている <交叉咬合>
症例をご紹介致します。
矯正前 矯正後

矯正前の写真を見ると、
上の前から2番目の歯だけ咬み合わせが上下逆になっています。
矯正後は、上下の咬み合わせが改善しています。
当矯正歯科医院では、歯並びをよくする為には、
顎を大きくするだけでは不十分と考えています。
その為、咬み合わせの高さ、顎の前後の関係などを
立体的に改善していく事を心がけて日々治療しています。
今回も治療には、独自の方法とビムラー・t4k等を利用して改善しました。
治療終了時の歯は、乳歯と永久歯が混在している為、
永久歯の歯並びについては永久歯が萌えてから、加えて改善していく計画です。
なを、顎骨のバランスは良好の為、永久歯を抜歯する必要は全くありません。
この矯正に興味のある方は、当院にて 矯正の無料相談を行っております!
診査・診断後、患者様にあった治療法をご説明していきます。
お気軽にご連絡ください(^^)
☆いずみ歯科矯正歯科医院HP☆ こちらからどうぞ! -
前歯が上下で交叉している<交叉咬合> 医療法人社団クオリタス いずみ歯科矯正歯科医院(浦安市)
☆いずみ歯科矯正歯科HP☆ 矯正のお役立ち情報はこちらへどうぞ!
こんにちは!
私たちは歯を抜く事なく <抜歯矯正>
骨を切る事なく <外科矯正>
矯正治療によって、皆さまの呼吸機能・顎関節機能等を向上させ、
より健康的な人生を歩む手助けをさせて頂く為に
日々研鑽している矯正歯科医院です。
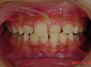
今回は、前歯の咬み合わせが一部上下逆になっている<交叉咬合>
の改善症例です。
治療前 治療後


治療前の写真では、前歯が一本だけ咬み合わせが上下逆になっています。
治療後は、前歯の咬み合わせが改善しています。
期間は、1年6カ月で治療方法は独自の方法です。
この症例は、前歯という特に神経が敏感な場所でもある為、
早期に治療してあげたい症例です。
もっと詳しく知りたい!
という方は、 当院の無料矯正相談で疑問を解決しませんか?
お気軽にご連絡ください!(^^)!





