-
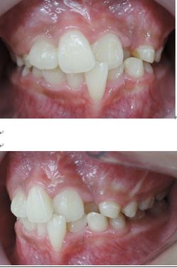
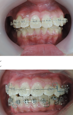
よく診る、難しい症例(奥歯の隙間)
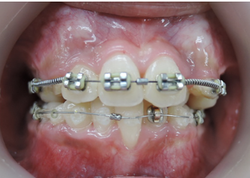
今回の症例は、悪い歯並びの代表例である八重歯です。
歯並びが悪いだけでなく、困ったことに犬歯から奥歯にかけて歯が嚙み合っていない開咬の状態です。
一般的な矯正の治療法では中心から4番目の歯を抜いて隙間をつくり、飛び出した犬歯を並べて治療します。
しかし、この矯正方法は歯を横に動かす治療法なので、噛んだときにできる奥歯の上下の隙間を治すのが苦手です。
当院ではマルチループ(MEAW法)という上の写真で装着しているようなクネクネ曲がったワイヤーを使用して、上下の隙間を埋めていくことで歯並びを整えます。

当院では口腔機能向上を重視した診療を行っております。
同じような症例でも骨格の違いによって治療法が変わるため、来院されて診査・診断すことが必要です。 -
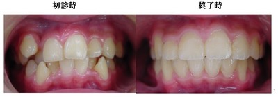
歯を抜かないと治療出来ないと言われた方に。(歯並びが悪い)
歯並びを気にしているけど、歯を抜いて矯正治療をするのは抵抗がある。
という声をよく聞きます。
以下の上顎の症例では左右の第一小臼歯を抜かないと治療出来ないと説明があるはずです。しかし、当院での治療終了時には顎骨が拡大して綺麗に歯が並んでいます。
初診時 終了時

当院では拡大装置などを使用する事無く歯並びを綺麗に並べることが出来ます。
その治療方法を説明していきます。
本人の気にしているところは「歯並び」です。
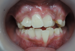
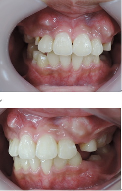
14歳6カ月 女子
初診時の状態

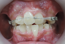
出来るだけ見えにくい矯正装置(ブラケット)を上下顎に装着して歯並びを整えていきます。矯正装置を装着後3日から7日ぐらいまでの間は歯が動きだすために軽い痛みを感じることがあります。
また、矯正装置が口腔内という敏感なところに装着される事で異物感を感じます。そのために本能的に装置を取ってしまいたいと考えて、当日から翌日位は矯正装置が脱落する事が多いです。

次にMEAW(マルチループ)を利用する事で咬み合わせの高さや前歯の傾斜を整えていきます。
また、MEAW(マルチループ)はゴムを24時間使用する事で最大の効果を発揮することが出来ます。

当院では簡易なMEAW(マルチループ)を使用する事で上下の前歯部をより綺麗な歯並びにしていきます。
この時にも24時間使用するゴムが大切です。

治療期間3年0か月で機能的で美しい咬み合わせが完成しました。

一口メモ
今回の症例は一般的に抜歯(第一小臼歯)が必要な症例ですが当院では非抜歯で治療する事が出来ました。
ただし、どんな症例でも非抜歯で治療できる訳ではありません。
当院に来院して診査診断を受けて下さい。
-
子供から大人まで非抜歯での連続矯正治療・八重歯・出っ歯(上顎前突)
☆いずみ歯科矯正歯科医院HP☆ 矯正のお役立ち情報はこちら!
こんにちは(*^^*)
当院のブログをご覧頂き、ありがとうございます!
小児矯正と大人の矯正の連続した治療
矯正治療は永久歯を綺麗に並べる事を目標としています。口腔機能には咀嚼、嚥下、発音、や呼吸などがありますが、これらの機能は子供の時期から大人と同じ能力を持っているわけでは無く、習慣性随意運動といって年月を重ねて習得していきます。
例えていえば言葉の喋り方などが当たります。
歯並び、咬合の不具合から発音に不具合が生じた場合には、その影響は大人になるまで蓄積され、ある年齢になるとそれを治す事が非常に困難となってきます。
口腔機能は習慣性随意運動であるため悪い習慣が固定化されていない混合歯列期から咬合異常の要因を早期に取り除く事が重要であり、遅くとも永久歯が萌出直後には歯列矯正治療を開始した方が良いと考えられます。
歯並びの悪い症例

口腔機能を順調に発育発達させる為には早期治療が効力を発揮します。
多数の治療法がありますが、当院ではブラケットという矯正装置を歯に装着する事で、上下顎骨の大きさと、咬み合わせの高さを改善していきます。
前歯がクロスしていて将来、口腔機能に悪影響を及ぼす事となります。
①前歯のクロスを改善するためには咬み合わせを高くする必要があります。

当矯正歯科医院では上顎の乳臼歯にレジンを盛る事で、クロスした前歯の被蓋(前歯の咬み合わせ)を改善していきます。

前歯のクロスが改善されて治療しやすくなっています。
その後、ブラケット装着を使用して上顎骨の拡大を始めます。

上顎骨の拡大を始めてから、下顎骨の拡大を始めます。

この上下顎骨の拡大と咬み合わせの高さの改善を1年6ヶ月間、治療を続けます。
すると、治療前と治療後は以下の様に変わります。
治療前の症例

1年6ヶ月後の症例

治療前と治療後の下顎骨の状態

治療前と治療後の上顎骨の状態

このように、早期に治療することで上下顎骨と咬み合わせの高さを改善することによって口腔機能の向上を目指しています。
矯正治療の最終治療目標は永久歯の美しい歯並びと咬み合わせを獲得することになります。
時々、上下の顎骨を拡大すると歯を抜かない矯正治療が出来ると考えている人がいますが、咬み合わせの高さに異常が無ければ非抜歯での治療も可能ですがそのような咬み合わせの高さに異常がない人は滅多にいません。
殆んどの症例で咬み合わせの高さの改善のために第一小臼歯を抜歯して矯正治療を行う事となります。
当矯正歯科医院ではこどもの矯正でも大人の矯正でも咬み合わせの高さの改善をしています。そのため、非抜歯での矯正治療を行う事ができます。
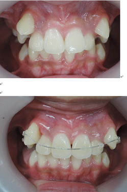
初診時

治療1年6カ月後

このように、1年6ヶ月間、通院して頂ければ治療計画どうりの目標は達成されます。
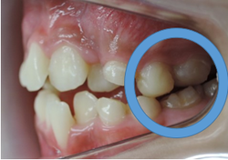
しかし、上下の顎骨の状態が改善されたからと言って永久歯が綺麗に並ぶわけではありません。
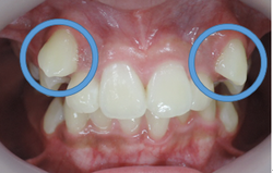
○印の中にある突起は永久歯の犬歯です。

但し、本来顎骨が劣成長であった場合はその中にある永久歯は著しい位置異常を起こしている場合が多い為に上下顎骨の大きさや咬み合わせの高さが改善したとしても、歯並びが悪くなる事がほとんどです。
その場合は永久歯の歯列矯正の計画の契約を結び永久歯の綺麗な歯並びと咬み合わせに改善していきます。
治療終了から一年後

治療前と治療後の下顎骨の状態

治療前と治療後の上顎骨の状態

永久歯は上下顎骨が拡大していても永久歯の歯並びが綺麗に並んで来る分けではありません。
矯正治療の最終治療目標は永久歯の美しい歯並びと咬み合わせを獲得することになります。
いずみ歯科矯正歯科医院では小学校低学年からの早期治療により上下顎骨の大きさと咬み合わせの高さを改善する事により口腔機能の健全な育成を後押して将来の快適な生活を営む礎を築いていく治療を目指しています。
但し、本来顎骨が劣成長であった場合はその中にある永久歯は著しい位置異常を起こしている場合が多い為に上下顎骨の大きさや咬み合わせの高さが改善したとしても、歯並びが悪くなる事がほとんどです。
その場合は永久歯の歯列矯正の計画の契約を結び永久歯の綺麗な歯並びと咬み合わせに改善していきます。
治療終了から一年後


いずみ歯科矯正歯科医院は口腔機能を重視した矯正治療を目指しています。
そのために、第一小臼歯を抜歯する抜歯矯正治療はしていません。
当院では、矯正の無料相談を行っております(^^)
矯正に興味がある方は、お気軽にお問い合わせください♪
☆☆☆いずみ歯科矯正歯科医院HP☆☆☆ -
子供から大人まで非抜歯での連続矯正治療・出っ歯(上顎前突)
☆いずみ歯科矯正歯科医院HP☆ 矯正のお役立ち情報はこちら!
こんにちは(*^^*)
当院のブログをご覧頂き、ありがとうございます!
大学病院での矯正治療は永久歯が萌えそろった時期に治療を始めます。
では、小学生低学年の矯正は何処で治療するかと言うと小児歯科で治療する事となっています。
しかしながら、小児歯科ではむし歯などの治療で手がいっぱいで本格的な小児矯正治療を行う場にはなっていません。
そのために日本の歯科医療体系では子供から大人まで一貫した本格的な矯正治療を提供できる医療機関があまりありませんでした。
いずみ歯科矯正歯科医院ではこどもの矯正から大人の矯正まで連続した矯正治療を行っています。
子供の矯正治療と大人の矯正治療を一貫して行う事で受験においての中高一貫校のように時間や費用の重複を除いて効率的に治療を進めています。




いずみ歯科矯正歯科医院では既成の矯正装置を利用するのではなく、一歯ずつブラケットという矯正装置を装着する事でその人にあった本格的な矯正治療をしています。

(症例一口メモ)
口腔機能を順調に発育発達させる為には早期治療が効力を発揮します。
多数の治療法がありますが、当院ではブラケットという矯正装置を歯に装着する事で、上下顎骨の大きさと、咬み合わせの高さを改善していきます。
その後、永久歯が萌え揃ってから再度計画を立てて永久歯の歯並び、咬み合わせを改善していきます。

大人の矯正治療は出来るだけ見えにくい小さな矯正装置を利用して上の歯並びから歯ならび治していきます。埋伏している犬歯も萌出させていきます。

上顎の歯列がある程度改善してから下顎の歯列を見えにくいブラケットという矯正装置で整えていきます。埋伏している犬歯も萌出させていきます。

MEAW(マルチループ)により咬合高径(咬み合わせの高さ)を改善して美しい咬み合わせに治療していきます。(矯正開始から3カ月後)

終了時2か月前(1年3ヶ月後)

終了時(開始から1年8カ月後)



(一口メモ)
こどもの時から歯並びだけではなく上下顎骨に歪みがある症例です。
早期治療で上下顎骨や咬み合わせの高さを改善していたので素晴らしい歯並びになりました。
もしも早期治療をしないで大人になってから治療を開始したとすれば非抜歯での治療が困難となってしまう事もあるので早期治療をお勧めします。
当院では、矯正の無料相談を行っております(^^)
矯正に興味がある方は、お気軽にお問い合わせください♪
☆☆☆いずみ歯科矯正歯科医院HP☆☆☆ -
大人の非抜歯での顎偏位の治し方
☆いずみ歯科矯正歯科医院HP☆ 矯正のお役立ち情報はこちら!
こんにちは(*^^*)
当院のブログをご覧頂き、ありがとうございます!
☆顎偏位(顎が曲がっている)症例☆
顎偏位の症例はMEAW(マルチループ)の得意としている症例です。
一般的な治療では非抜歯での治療は非常に困難な症例です。

治療は上顎から矯正装置を装着していきます。その後下顎の矯正装置を装着します。
この過程で歯並びが整いMEAW(マルチループ)を装着しやすくなります。

MEAW(マルチループ)を使用する事で顎偏位により左右の咬合高径(咬み合わせの高さ)の改善をしています。その治療により左右の顎のズレが改善されます。


(症例一口メモ)
顎偏位は上顎前突や下顎前突のように顎骨の前後のズレではなく左右のズレである為に歯を抜いて治療する事が出来ないストレートワイヤー法では治療が困難な症例です。
当院はMEAW(マルチループ)により効率的に治療を進めています。
当院では、矯正の無料相談を行っております(^^)
矯正に興味がある方は、お気軽にお問い合わせください♪
☆☆☆いずみ歯科矯正歯科医院HP☆☆☆ -
おとなの歯並びの治療法 *通常、上下第1小臼歯を4本抜歯する症例です*
☆いずみ歯科矯正歯科医院HP☆ 矯正のお役立ち情報はこちら!
こんにちは(*^^*)
当院のブログをご覧頂き、ありがとうございます!
☆初診時

当矯正歯科医院では、まず上顎骨の劣成長の改善から治療を始めていきます。

出来るだけ目立たない矯正装置を使って上顎骨の拡大を始めます。
金属の矯正装置がありますが、これは隣の歯との段差が大きい場合に使用します。

3ヶ月ぐらいで矯正装置は全て小さな目立たない装置になりました。
咬合高径の改善、前歯の審美的改善のためにMEAW法(マルチループ)を使用しています。

☆治療終了時

永久歯を抜歯する事無く治療を完了する事が出来ました。

当院では、矯正の無料相談を行っております(^^)
矯正に興味がある方は、お気軽にお問い合わせください♪
☆☆☆いずみ歯科矯正歯科医院HP☆☆☆ -
抜歯・非抜歯矯正の歴史 3 医療法人社団クオリタス いずみ歯科矯正歯科医院 市川市、船橋市
☆いずみ歯科矯正歯科医院HP☆ 矯正のお役立ち情報はこちら!
こんにちは(*^^*)
当院のブログをご覧頂き、ありがとうございます!
そこで、当時の技術でできる矯正拡大装置が考案されました。
一時は今とは逆に非抜歯派が優勢でしたが1925年にⅬundstromの歯槽基底論により当時の技術では矯正医が必要とする顎骨の歯槽基底部の拡大はできないと決定づけられました。
このⅬundstromの歯槽基底論により、隙間をつくる唯一の方法として約100年間ノンカリエスの永久歯の抜歯が選択肢の一つである事の正当性を現代に至るまで裏付け続けています。
矯正治療の抜歯は当然しなければならないから抜歯するのではなく、技術的に抜歯しないと個性正常咬合が確立できない為に仕方なく抜歯するのです。
当院では、矯正の無料相談を行っております(^^)
矯正に興味がある方は、お気軽にお問い合わせください♪
☆☆☆いずみ歯科矯正歯科医院HP☆☆☆ -
抜歯・非抜歯矯正の歴史 2 医療法人社団クオリタス いずみ歯科矯正歯科医院 市川市、妙典
☆いずみ歯科矯正歯科医院HP☆ 矯正のお役立ち情報はこちら!
こんにちは(*^^*)
当院のブログをご覧頂き、ありがとうございます!
非抜歯矯正の歯列は咬めない。喋りにくい。飲み込めない。などといった不定愁訴は非常に起こりにくい咬合でした。
しかし、1900年前半の矯正を希望する患者の主訴としては、歯並びの乱れ(八重歯など)や出っ歯、受け口などを治す審美的要因がほとんどでした。
その審美的要因を解決するためには、一つの解決策として上下顎骨を拡大させることで隙間をつくり歯を並べることでした。
当院では、矯正の無料相談を行っております(^^)
矯正に興味がある方は、お気軽にお問い合わせください♪
☆☆☆いずみ歯科矯正歯科医院HP☆☆☆ -
抜歯・非抜歯矯正の歴史 1 医療法人社団クオリタス いずみ歯科矯正歯科医院 市川市、行徳
☆いずみ歯科矯正歯科医院HP☆ 矯正のお役立ち情報はこちら!
こんにちは(*^^*)
当院のブログをご覧頂き、ありがとうございます!
抜歯矯正治療における抜歯の適応症について
(抜歯矯正だからといって、どんな症例でも抜歯をするわけではない。)
先ずはその歴史から
矯正治療には非抜歯矯正と抜歯矯正の別々の歴史があるかのような考えがあるがアングルの分類の時のように、歴史を知れば理解がしやすい。
アングルは元々、総義歯が得意な歯科医師でした。総義歯は支持する歯がないので、粘膜と義歯との吸着力のみで咀嚼ができないと意味がない人口臓器の為、咬合形態に特に研究が必要な歯科医療分野です。そのため、アングルは矯正治療に於いても非抜歯矯正を推奨しました。
当院では、矯正の無料相談を行っております(^^)
矯正に興味がある方は、お気軽にお問い合わせください♪
☆☆☆いずみ歯科矯正歯科医院HP☆☆☆ -
抜歯矯正で第一小臼歯を抜歯する理由 4 医療法人社団クオリタス いずみ歯科矯正歯科医院 市川市、妙典
☆いずみ歯科矯正歯科医院HP☆ 矯正のお役立ち情報はこちら!
こんにちは(*^^*)
当院のブログをご覧頂き、ありがとうございます!
今回は、「⑥個性正常咬合の改善に、やむを得ない場合は歯を動かす隙間を作るために抜歯をする(抜歯する歯は歯列弓の中間の歯)」について説明していきます。
非抜歯矯正(MEAW法)も抜歯矯正(ストレートワイヤー法)も最終目標は28本または24本の永久歯が揃い、歯列不正がない個性正常咬合です。
そして非抜歯矯正(MEAW法)も抜歯矯正(ストレートワイヤー法)も抜歯する場合は個性正常咬合への改善には、矯正医の技術では不可能な場合(矯正医の技術が卓越していれば同一症例であっても抜歯しない事もある。)には抜歯をするのです。
しかし、ここで非抜歯矯正(MEAW法)と抜歯矯正(ストレートワイヤー法)に大きな違いがあります。
それは治療概念が違う為に抜歯する歯が違う事です。
次回に続きます。
当院では、矯正の無料相談を行っております(^^)
矯正に興味がある方は、お気軽にお問い合わせください♪
☆☆☆いずみ歯科矯正歯科医院HP☆☆☆





