機能を高める矯正・歯を並べる矯正(江戸川区) いずみ歯科矯正歯科医院
☆いずみ歯科矯正歯科HP☆ 矯正のお役立ち情報はこちらへどうぞ!
教科書では歯列を矯正する為に、歯を抜いて治療をします。
ではなぜ歯を抜くのでしょう?
それは顎の大きさに対して歯が並ぶスペースが足りない事が
原因の一つとされています。
そして、顎は大きくなりにくいとされています。
<歯を抜く矯正・歯を抜かない矯正>の写真に示したように、
当歯科医院では顎骨の形を容易に変える事が出来ます。
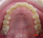
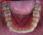
矯正前

矯正後


「どのように変えるのですか?」 と歯医者さんによく聞かれます。
答えは 「秘密です。」 …….
特にブログの中に最新の情報があります。
もう少し詳しく知りたい方はHPのトップページをご覧ください。
いずみ歯科矯正歯科サイト





