見つけにくい不正咬合【低位咬合・出っ歯】 医療法人社団クオリタス いずみ歯科矯正医院(妙典、市川市)

医療法人社団クオリタス いずみ歯科矯正歯科医院

047-395-8241
無料矯正相談
お問合せ

診療時間 9:00-12:00 / 14:30-19:00  休診日 水曜・日曜・祝日

当院公式LINEをスタートしました

MENU
いずみ歯科矯正歯科医院
医療法人社団クオリタス
いずみ歯科矯正歯科医院
  • トップ
  • インビザライン
    • インビザライン
    • インビザラインfirst
    • インビザライン治療の流れ
    • Q&A・注意事項・装置の取り外し方法
    • 医院の特徴・強み
    • インビザラインへの転換理由
    • 症例集
  • 小児(早期)矯正
    • 子供の矯正(早期矯正治療)
    • 子供の矯正の流れ(典型的一例)
    • 症例①:歯並びが悪い
    • 症例②:こどもの反対咬合(受け口/下顎前突)
    • 症例③:こどもの出っ歯(噛み合わせが低い)
    • 症例④:こどもの開咬
    • 症例⑤:顎偏位(顎が曲がっている)
    • 症例⑥
    • 症例⑦
  • 成人矯正
    • 成人矯正
    • 成人矯正の流れ(典型的一例)
    • MEAW(マルチループ)とは
    • 非外科矯正
    • 症例①:歯並びが悪い例
    • 症例②:大人の受け口(反対咬合/下顎前突)
    • 症例③:出っ歯(上顎前突)
    • 症例④:開咬
    • 症例⑤:顎変位
    • 症例⑥:非外科矯正(骨切りと言われたら)
  • 子供~大人 症例
    • 子供から大人へと連続した治療例
    • 症例①:子供の出っ歯(上顎前突)
    • 症例②:子供の歯並びが悪く上下顎の成長に差異が見られる
    • 症例③:こどもの歯並びが悪い症例
  • 初めての方へ
    • 初めての方へ
    • カウンセリング~治療開始まで
    • メールでご予約/初診無料相談
    • LINEでご予約
    • WEB問診票
  • 料金
    • 料金表
    • 医療費控除
  • ドクター
    • 院長あいさつ
    • 当院のモットー
    • 安心のポイント
    • 他の先生からの推薦コメント
    • 院内の様子
    • アクセス・地図
    • 駐車場案内
    • 診療カレンダー
    • 院長ブログ
  • Q&A
    • よくある質問
    • 治療中の皆様へ
    • ├ゴムの装着について
    • ├親知らずの抜歯について
    • ├ワイヤーやブラケットが外れた時
    • └保定装置について
    • インビザラインで治療中の皆様へ
    • ├開始時の注意事項
    • ├アタッチメントが外れた場合
    • ├マウスピースの取り外し方
    • └マウスピースの洗い方

出っ歯

  • TOPページ
  • 出っ歯
  • 見つけにくい不正咬合【低位咬合・出っ歯】 医療法人社団クオリタス いずみ歯科矯正医院(妙典、市川市)
2018年03月06日

見つけにくい不正咬合【低位咬合・出っ歯】 医療法人社団クオリタス いずみ歯科矯正医院(妙典、市川市)

☆いずみ歯科矯正歯科医院HP☆ 矯正のお役立ち情報はこちら!
こんにちは(*^^*)
当院のブログをご覧頂き、ありがとうございます!
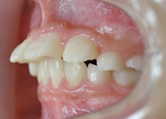
下の写真の症例では歯並びは上下顎共に綺麗ですが、出っ歯に見えます。
この原因としては「低位咬合」が考えられます。
低位咬合はあまり聞き覚えがないと思いますが、奥歯の咬み合わせの高さが低い事を異常とした症例をいいます。
yoko2.pngkagakumokei.png
    
この場合の口腔機能への影響としては、20歳位から顎関節への影響が考えられます。
低位咬合は小学生の時であれば改善しやすい症例です。
早期治療をお薦めします。
当院では、矯正の無料相談を行っております(^^)
矯正に興味がある方は、お気軽にお問い合わせください♪
☆☆☆いずみ歯科矯正歯科医院HP☆☆☆

  • « 歯並びから引き起こされる機能不全 医療法人社団クオリタス いずみ歯科矯正医院(行徳・市川市)
  • 見つけにくい不正咬合(低位咬合、受け口)医療法人社団クオリタス いずみ歯科矯正医院(船橋市、市川市) »

カテゴリー

  • 40歳以上の矯正 (1)
  • お知らせ (4)
  • トレーナー (6)
  • 交叉交合 (3)
  • 再治療 (2)
  • 出っ歯 (96)
  • 劣成長 (5)
  • 受け口(反対咬合) (46)
  • 口ポカン(口呼吸) (13)
  • 外科矯正 (10)
  • 子供~大人の矯正治療例_TOP表示用 (3)
  • 小児矯正の治療例_TOP表示用 (5)
  • 成人矯正の治療例_TOP表示用 (6)
  • 指しゃぶり (4)
  • 歯列不正 (13)
  • 歯間離開 (2)
  • 理想的な咬み合わせ (5)
  • 睡眠時無呼吸症候群 (10)
  • 矯正治療に伴う痛み  (11)
  • 空蝉のねごと (66)
  • 親知らず (7)
  • 開咬 (12)
  • 開始時期・早期治療 (71)
  • 院長ブログ (177)
  • 顎偏位 (2)
  • 顎関節 (8)

最近の投稿

  • 兄弟の歯並びは似ているのか?
  • 治療終了しました!症例♯2上顎前突(出っ歯)
  • お父さんお母さんの歯列矯正が増えてます!
  • 治療終了しました!症例♯1オープンバイト(開咬)
  • ホームページをリニューアルしました

ご予約・お問合せ

お気軽にお問い合わせ・ご相談ください047-395-8241診療時間 9:00-12:00 / 14:30-19:00
日祝 休診

〒272-0114 千葉県市川市塩焼2-2-66

東京メトロ東西線「妙典駅」徒歩5分

東京外環自動車道「市川南インター」約5分

診療時間
ご予約・お問合せ
  • ドクター紹介
  • いずみ院長の矯正ブログ
  • 初診矯正無料相談
  • LINE@
  • インビザライン
  • iTero Element
  • invisalign first
  • ツイッター
  • インスタグラム

インビザライン

  • インビザラインとは
  • インビザラインfirst
  • 治療の流れ

当院の矯正治療

  • 成人矯正
  • 小児矯正
  • 抜かない矯正

無料相談・ご予約

  • メール相談・ご予約
  • LINEでご予約・お問合せ

費用・Q&A

  • 料金体系
  • よくある質問
  • 治療中の皆様へ

クリニック

  • ドクター紹介
  • アクセス
  • 院内紹介
PAGE TOP

医療法人社団クオリタスいずみ歯科矯正歯科医院

© IZUMI DENTAL & ORTHODONTIC CLINIC.

  • 047-395-8241
  • アクセス
  • WEB問診票
  • LINE相談
  • 無料相談