見つけにくい不正咬合(低位咬合、受け口)医療法人社団クオリタス いずみ歯科矯正医院(船橋市、市川市)
☆いずみ歯科矯正歯科医院HP☆ 矯正のお役立ち情報はこちら!
こんにちは(*^^*)
当院のブログをご覧頂き、ありがとうございます!
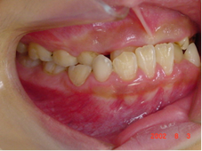
前回、低位咬合の出っ歯の症例を説明しましたが、今回は低位咬合で受け口の症例を説明していきます。


低位咬合で受け口の場合は、特に上顎骨の成長に影響を与えます。
上顎骨は下顎骨と成長の仕方が異なり、誕生から10歳位まで成長し、そこで成長が止まります。
そのため、出っ歯の低位咬合以上に早期治療の必要性が高まります。
当院では、矯正の無料相談を行っております(^^)
矯正に興味がある方は、お気軽にお問い合わせください♪
☆☆☆いずみ歯科矯正歯科医院HP☆☆☆
- « 見つけにくい不正咬合【低位咬合・出っ歯】 医療法人社団クオリタス いずみ歯科矯正医院(妙典、市川市)
- 下顎前突(反対咬合・受け口)1 医療法人社団クオリタス いずみ歯科矯正医院(浦安市・市川市) »





