下顎前突(反対咬合・受け口)8 医療法人社団クオリタス いずみ歯科矯正医院(妙典・市川市)
☆いずみ歯科矯正歯科医院HP☆ 矯正のお役立ち情報はこちら!
こんにちは(*^^*)
当院のブログをご覧頂き、ありがとうございます!
前回に続き、下顎前突(反対咬合・受け口)について説明していきます。
歯槽性下顎前突のいずみ歯科矯正医院での治療例について説明します。
*歯槽性下顎前突とは「上顎骨、下顎骨の大きさや形態にはほとんど異常がなく、上顎前歯の舌側転移や舌側傾斜、下顎前歯の唇側転移や唇側傾斜、またはそれらが合併することにより上下顎前歯が逆被蓋を呈するもの。」
参考文献:歯科矯正学教科書より
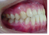
いずみ歯科矯正医院に来院された症例です。
年齢は30代、男性
治療前
当院では下の写真のMEAW(マルチループ)とゴムを

利用して約2年の治療期間で非抜歯矯正にて改善することが出来ました。
治療前 治療後
ただ、どの様な症例でも非抜歯矯正で改善出来る訳ではありません。
診査診断が必ず必要です。
当院では、矯正の無料相談を行っております(^^)
矯正に興味がある方は、お気軽にお問い合わせください♪
☆☆☆いずみ歯科矯正歯科医院HP☆☆☆





